Nuestro cuerpo hace muchas cosas cuando dormimos y sin que nosotros lo sepamos. Hay personas que hablan en sueños, otras roncan, otras no paran de moverse y otras están constantemente rechinando los dientes sin darse cuenta. Es lo que se conoce como bruxismo nocturno, un trastorno por el cual apretamos la mandíbula cuando estamos dormidos. No obstante, no siempre lo hacemos por la noche; también es posible hacerlo sin darnos cuenta cuando estamos despiertos.
El bruxismo es un trastorno que afecta a muchísimas personas. Según un reciente estudio, lo sufren cerca de 7 de cada 10 personas, ya sea nocturno o diurno. Sin embargo, el estrés y la situación de incertidumbre que vivimos ha provocado que se hayan multiplicado en gran medida los casos de este trastorno.
En ocasiones, el bruxismo es solo algo leve o temporal y ni siquiera tiene consecuencias. En cambio, si es un hábito continuado, nos arriesgamos a sufrir dolor y muchas otras molestias. Estas son algunas de ellas:
– Dolores musculares. La tensión que se acumula por el rechinamiento constante se refleja en los músculos cercanos a la mandíbula. Eso implica dolor de cuello, molestias en los oídos e incluso dolores de cabeza. En los casos más extremos, los músculos situados cerca de la mandíbula se tensan hasta el punto de que no se puede abrir la boca con normalidad, lo que dificulta mucho comer.
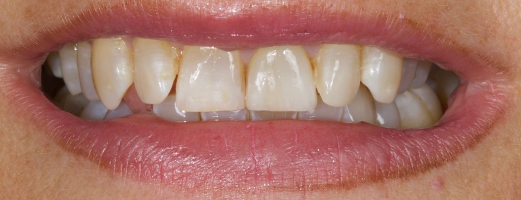
– Sensibilidad dental. El roce constante de los dientes desgasta el esmalte y hace que se vuelvan más sensibles. Eso implica molestias al tomar alimentos fríos, calientes o dulces.
– Lesiones en los dientes. Además de la sensibilidad, el bruxismo puede provocar que nos rompamos alguno y que sean más pequeños de lo habitual, porque se van desgastando mucho más deprisa de lo que deberían.
– Molestias en la articulación temporomandibular. Es la articulación situada justo delante de los oídos. bruxismo no solo provoca dolor en esa región, sino también otros El problemas relacionados con la articulación que se manifiestan como un chasquido cuando abrimos y cerramos la boca.
Para reducir el bruxismo, el primer paso es acudir al dentista. El tratamiento más habitual es la férula de descarga, una especie de protector bucal diseñado para que los dientes no choquen entre sí. Hay que hacerlo a medida. Eso ayudará a que los músculos se relajen y evitará el desgaste, aunque no hará que dejemos de apretar. En ciertos casos, es necesaria la ortodoncia o incluso la cirugía. En Clínica Dental Oral Park te asesoramos acerca de la solución que mejor se adapta a ti y a tu salud bucodental.
