Asunción
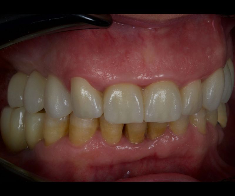
Esta paciente llegó con serias preocupaciones sobre su salud bucal y la apariencia de sus dientes.
Después de una evaluación minuciosa, diseñamos un plan de tratamiento integral para devolverle la funcionalidad y la estética a su sonrisa.
En la arcada superior, realizamos un tallado dental y colocamos una rehabilitación fija con coronas de zirconio-cerámica, garantizando durabilidad y un aspecto natural. También insertamos implantes en las piezas 14 y 16. En la arcada inferior, Asunción tiene dos implantes en las piezas 45 y 46, cada uno con coronas de zirconio-monolítico, lo que le proporciona estabilidad y una mordida eficiente.
El resultado es una sonrisa rejuvenecida y natural.
Ven a visitarnos y descubre cómo podemos ayudarte. ¡Tu sonrisa es nuestra prioridad!




