Encarnación
El proceso paso a paso
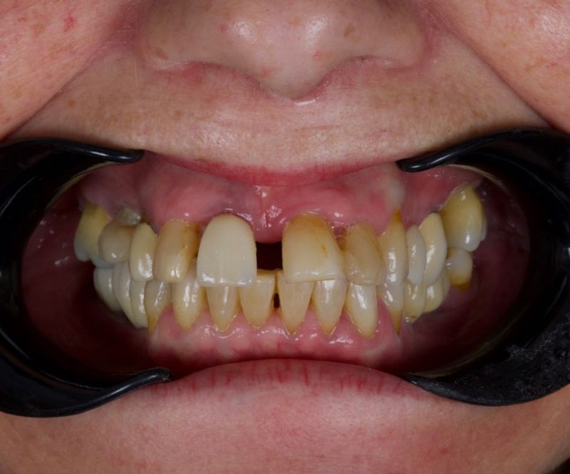
Hoy queremos mostraros el proceso de transformación de una de nuestras pacientes.
➡️ Las dos primeras fotos muestran el estado inicial de su boca al llegar a nuestra clínica.
➡️ Las tres siguientes fotos muestran su sonrisa con una prótesis provisional en resina.
➡️ La última foto es el resultado final con su nueva prótesis de zirconio-cerámica.
Cada paso cuenta y estamos aquí para asegurarnos de que cada uno de ellos te lleve a una sonrisa saludable y hermosa.




