Jaime

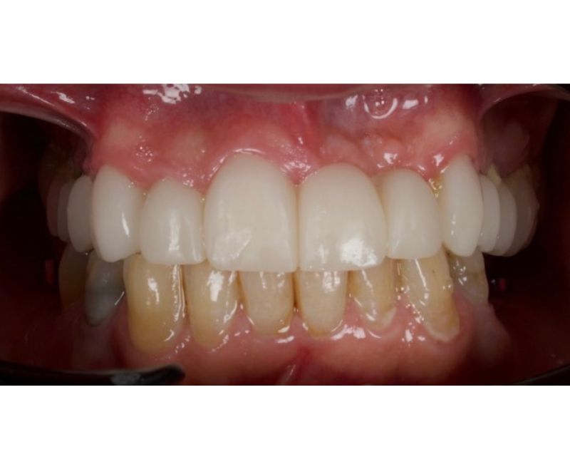
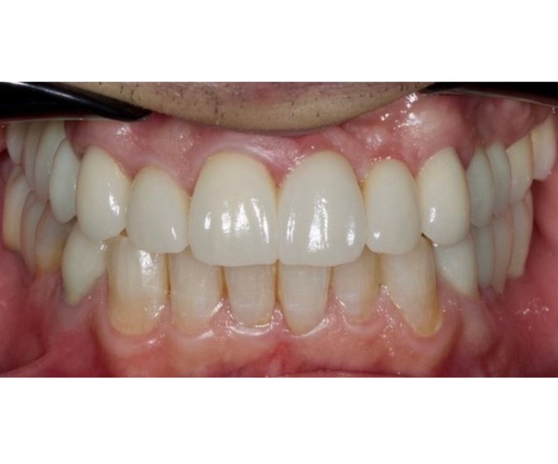
Cuando la solución es completa, el cambio es total. 😄 Mira el antes y después de esta rehabilitación oral superior e inferior.

Hemos combinado puentes sobre dientes y puentes sobre implantes, utilizando materiales de primera como el zirconio monolítico y el zirconio-cerámica. El objetivo: devolverte una boca funcional y una sonrisa llena de confianza.

En Oral Park, Ourense, te ayudamos a recuperar tu mejor versión.

Video