• Preguntas & Respuestas
  • Aviso Legal
  • Tu nueva sonrisa
  • Oral Park
    • Nuestra historia
    • Equipo profesional
    • Instalaciones
    • Servicios dentales en Oral Park
      • Implantes dentales en Ourense
      • Odontología general en Ourense
      • Ortodoncia en Ourense
      • Odontología estética en Ourense
      • Endodoncia en Ourense
  • Promos
  • Blog
  • Citas
  • Casos Reales
  • Contacto
Site Logo
Site Logo
Site Logo
Site Logo
Site Logo
Site Logo
Site Logo
Site Logo

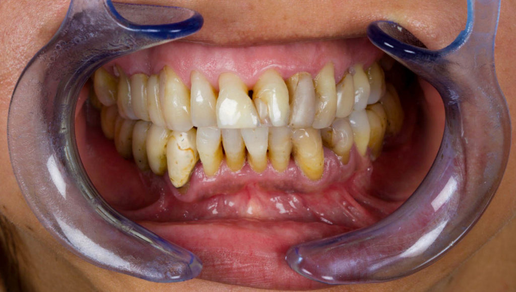
Liliana

No dejes de sonreír… es lo más bonito que tienes.

Video de Liliana

Más imágenes

Liliana depositó su confianza en nosotros y le devolvimos una buena dosis de autoestima. Su sonrisa volvió a brillar.

Previous

Nicolás

Next

Julio Reñoles


Related Portfolio

    • Completa Implantes

    Manuel G.

    • Completa Implantes

    José F.

    • Implantes

    Johannes

    • Completa Implantes

    José N.

    • Implantes

    Manuel P.

Buscar

Footer Logo
Ourense

Parque Tecnológico de Galicia,Calle Redondela 1 – 32900
clinica@oralpark.es
Telf: 988 616 258  Móvil: 604 081 655


©2019 Oral Park

Utilizamos cookies propias y de terceros para mejorar la experiencia de navegación, y ofrecer contenidos y publicidad de interés. Al continuar con la navegación entendemos que se acepta nuestra política de cookies. Cookie settingsACEPTAR
Privacy & Cookies Policy

Privacy Overview

This website uses cookies to improve your experience while you navigate through the website. Out of these cookies, the cookies that are categorized as necessary are stored on your browser as they are essential for the working of basic functionalities of the website. We also use third-party cookies that help us analyze and understand how you use this website. These cookies will be stored in your browser only with your consent. You also have the option to opt-out of these cookies. But opting out of some of these cookies may have an effect on your browsing experience.
Necessary
Siempre activado
Necessary cookies are absolutely essential for the website to function properly. This category only includes cookies that ensures basic functionalities and security features of the website. These cookies do not store any personal information.
Non-necessary
Any cookies that may not be particularly necessary for the website to function and is used specifically to collect user personal data via analytics, ads, other embedded contents are termed as non-necessary cookies. It is mandatory to procure user consent prior to running these cookies on your website.
GUARDAR Y ACEPTAR

Search

    Powered by Joinchat
    Hola ????
    ¿En qué podemos ayudarte?
    Abrir chat