Loli (Tía)

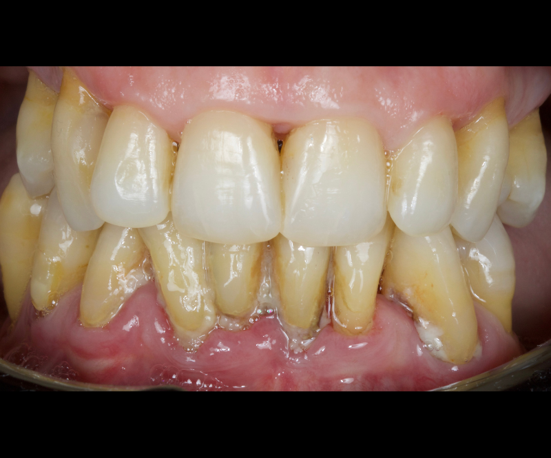
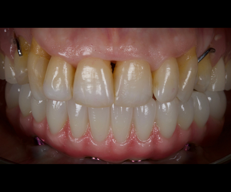
¡La sonrisa de Loli ya está aquí! Conoce a Loli. Cuando llegó a Oral Park por primera vez, tenía algunos «desafíos dentales» que la mantenían incómoda y preocupada pero…, ¡echa un vistazo a lo que hicimos!. ¡El resultado es asombroso!. Loli es un testimonio viviente de lo que podemos lograr en Oral Park. Cambiamos vidas y convertimos sonrisas. No dudes en ponerte en contacto con nosotros. Estamos listos para hacer magia dental contigo. #sonrisatransformada #oralpark #dentistadeconfianza #odontologia #clinicadental

Vídeo