María José

¡Sonríe! La vida está llena de momentos inolvidables. ????

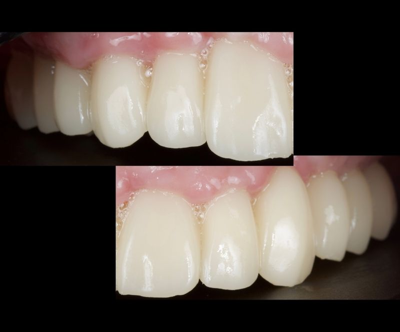
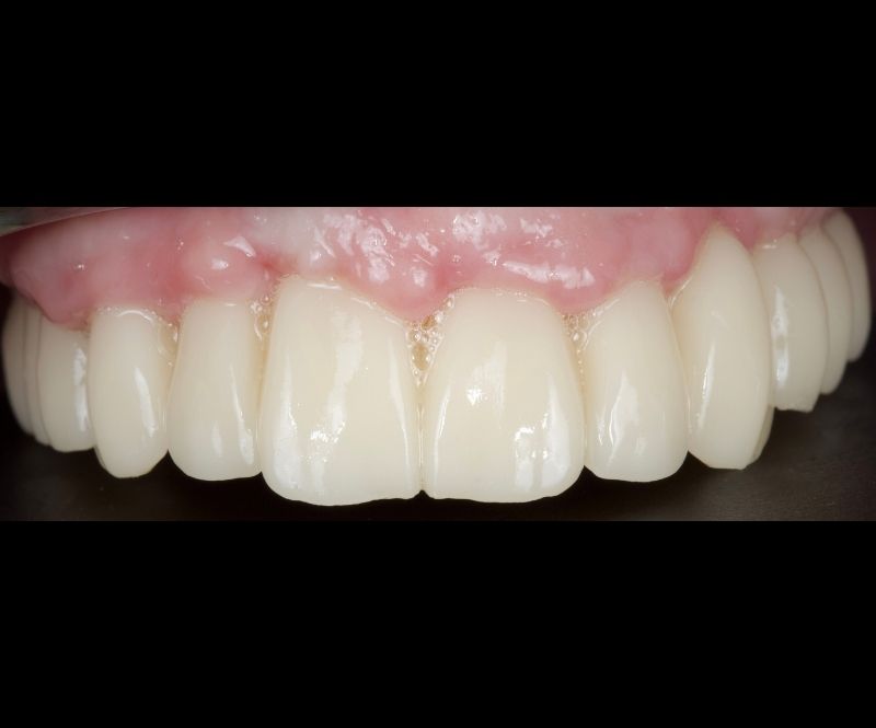
Como los que está viviendo María José una vez finalizado su tratamiento. Le realizamos un tratamiento consistente en 4 implantes y una prótesis híbrida en resina.

Conseguir ‘más con menos’ es la clave para ofrecerte tratamientos de calidad y accesibles como este.

Si quieres disfrutar de una odontología mejor, ven a visitarnos. ????

¡Te esperamos!

Más imágenes