María Teresa

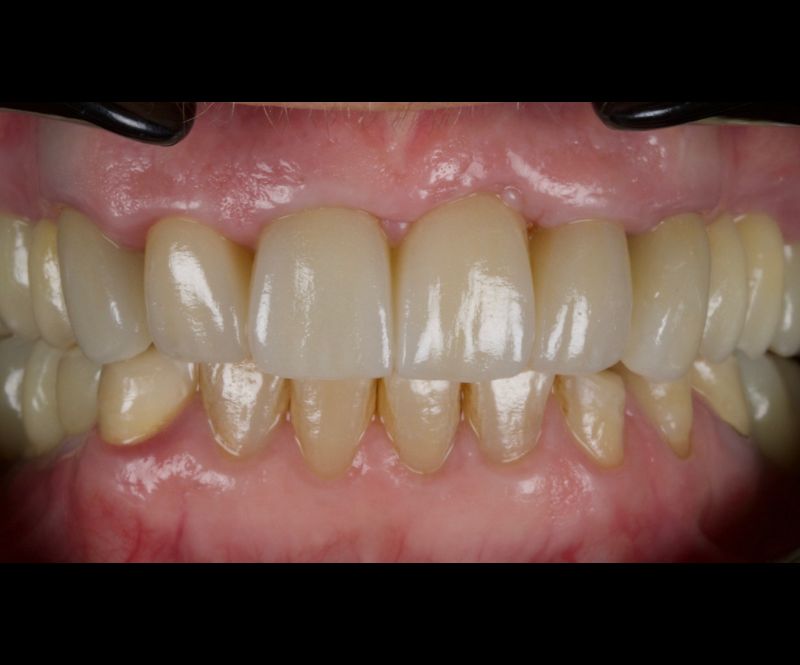
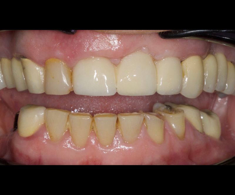
¡Transformación Sorprendente! ????✨ Conoce la historia de María Teresa, quien recuperó su sonrisa con nosotros. ???? Aquí tienes el antes y después. También puedes ver un poco más en detalle su recuperación. Ya contaba con una sonrisa naturalmente bella, pero la hemos ayudado a que brille mucho más. Incluso llegamos a retirar una anterior prótesis dental vieja. María Teresa también forma parte de la familia.

Vídeo