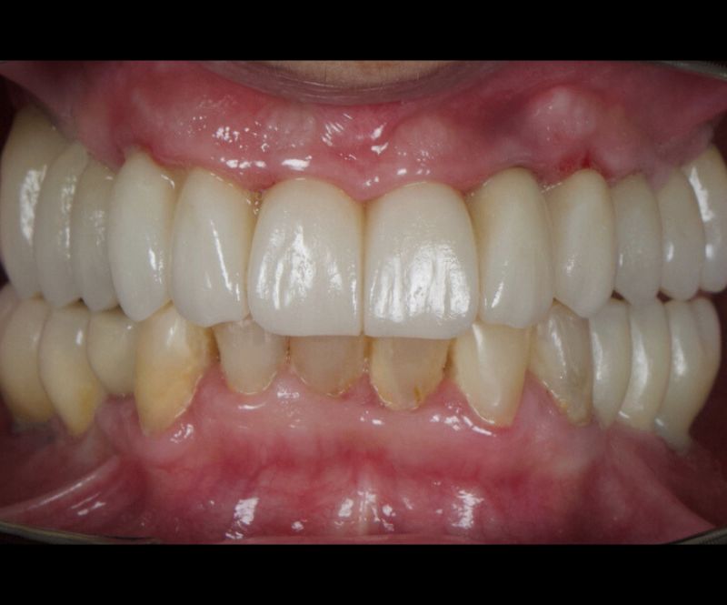
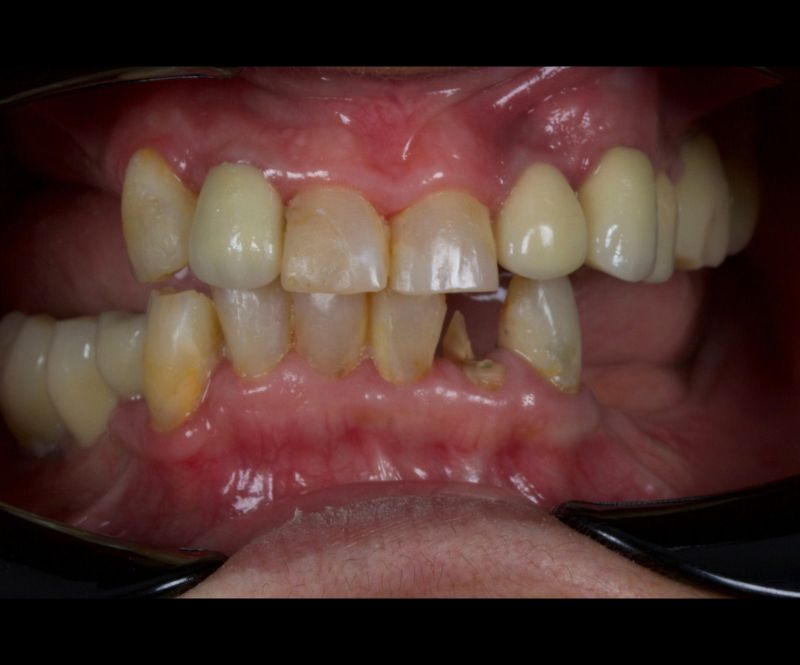
Asunción

¡La magia de una sonrisa renovada! ???? Asunción confió en nosotros para su transformación, ¡y el resultado es asombroso! ????
Entendemos que cada sonrisa es única y merece cuidado personalizado.

???? No se trata solo de dientes perfectos; se trata de devolver la confianza y la alegría a cada sonrisa. Estamos comprometidos a crear resultados impactantes con un toque personal.

Vídeo