Gonzalo

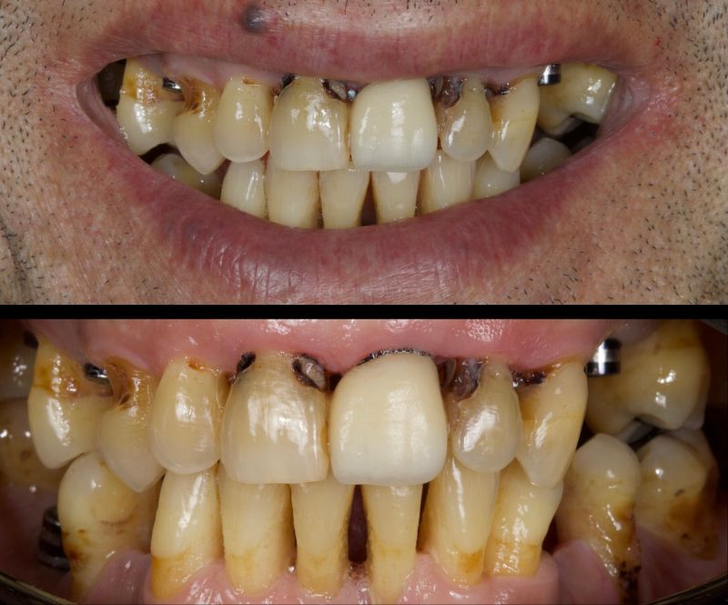
Hay pacientes con casos más complicados, pero nos esforzamos porque todos acaben igual: no hay más que ver a Gonzalo. Colocación de implantes y coronas en zirconio monolítico con la mejora estética, funcional y de autoestima que ha supuesto para él… y nosotros felices de haber participado en el viaje dental de Gonzalo. ¿A que esperas para venir a visitarnos y pedir tu valoración + panorámica gratis?

Más imágenes